HDCN Online Slide/Audio Symposium    

American Society of Nephrology
American Society of Nephrology Annual Scientific Meeting
October, 2000


The Dysproteinemias
Part One of Two


Dr. Korbet

Stephen M. Korbet, M.D.
Professor of Medicine, Associate Director of Nephrology, Rush Presbyterian St. Luke's Medical Center, Chicago, IL.

Listen to this Lecture using the Real Player
Click Here To Start Lecture You can scroll through the talk while listening to the audio. You won't be able to listen to these files if you have not downloaded and configured the Real Player. Click on the podium to start the talk.

To download free the Real Player click here.

Free Real Player

Moderator (Dr. Appel):
Steve Korbet is going to talk to us now about the dysproteinemias. This is such an important area. If you need to talk for two to three hours, that is fine with us.

00:00


Dr. Steve Korbet
Introductory remarks
Actually, I made my own title. I said, "Amyloidosis, Monoclonal Immunoglobulin Deposition Diseases and Immunotactoid Glomerulopathy." You might wonder what in the world do those things have in common? Well, they truly represent rare diseases.

00:00


Prevalence of the "dysproteinemias" is low
This is our own series for the last 10 years of biopsies that we did. These are not biopsies sent in to Dr. Schwartz. These are the ones that we did in our own section. And AL amyloid, 0.9 percent; monoclonal immunoglobulin deposition disease (MIDD), 0.2 percent; and ITG (immunotactoid glomerulopathy), 0.4 percent. I guarantee you we see a lot of ITG cases sent in as referrals. But what I wanted to show you is this is how often we see them off the street, if you will.

Agnes Fogo (Vanderbilt) was nice enough to give me some of her data. We are not so far off. Again, very uncommon diseases for us to see. And for sure, in the USRDS, again, amyloidosis and monoclonal immunoglobulin deposition diseases are infrequently seen in our dialysis population. These are rare disorders.

00:00


Monoclonal immunoglobulin deposition disease defined
What might they have in common? In a way, not only are they rare, but one might say they are all monoclonal immunoglobulin deposition diseases, if you will. Dr. Gallo suggests, and I think appropriately, that even amyloidosis, AL amyloidosis, is a monoclonal immunoglobulin deposition disease. It is an abnormal light chain. It has been cleaved and just happens to form a beta-pleated sheet which reacts with Congo red stain.

So these cell proliferative diseases result in disease from the deposition of monoclonal immunoglobulins in major organs. And for sure the way we get involved as nephrologists, more often than not, is by way of making the diagnosis. Often times we back into these diagnoses by way of the renal biopsy. In other words, these are patients we are seeing because they have proteinuria. They don't usually come to us with a diagnosis of amyloid or with myeloma or paraproteinemia; more often than not we see them because of proteinuria, and the renal disease is the earliest manifestation of these disorders. And by doing the biopsy, we then set off a whole sequence of events that leads into the evaluation which ultimately makes the diagnosis.

For amyloid and the non-amyloid monoclonal immunoglobulin deposition diseases like light chain deposition disease, this all actually applies. But for immunotactoid or fibrillary GN, if you will, it is a little less clear as to whether or not they really represent some sort of monoclonal or paraproteinemia or cryoglobulinemic related disorder. And we will get into that as we go through these disorders.

00:00


Fibrillary glomerulopathies defined
I think of these disorders in another way. I think they all represent forms of fibrillary glomerulopathy in general because one of the other features that we find in these disorders is that ultrastructurally they have organization. So we define fibrillary glomerulopathies as diseases defined ultrastructurally by the presence of glomerular deposits of micro-fibrils or microtubules which are extracellular, non- branching, and without periodicity. And all three of these disorders share this in common.

00:00


Work-up for fibrillary glomerulopathies: Congo red stain
There is a work-up that we do and a differential diagnosis to the fibrillary glomerulopathy. The first thing we often do is obviously a Congo red stain. When that is positive, that becomes the gold standard for making the diagnosis of amyloidosis. You all know that what is interesting about amyloid is that there are a number of subunit proteins which are very different but have in common the fact that they form this beta-pleated sheet which reacts with the Congo red dye in such a way that it gives us this characteristic staining, which I will show you.

00:00


Source: Kyle RA. Adv Nephrol Necker Hosp. 1998;28:383-99. Review.

Amyloidosis by classification: Mayo Clinic series
This is the Mayo Clinic series, which is one of the best going. What they show you here is, in their 135 patients seen in 1996, AL amyloid represents the biggest majority of patients with amyloidosis that they see. Secondary amyloid, less than 4 percent; and so on and so forth. Keep in mind that renal diseases are seen in about 80 to 90 percent of patients with primary amyloid and about 80 to 90 percent of secondary amyloid can have renal involvement, as well. It is much less common in the familiar or other forms of amyloid. And what we are going to do is focus a little more on the AL amyloid and some of the data that is out there now.

00:00


Appearance of amyloid deposition in the glomerulus stained with Congo red
Keep in mind that the biopsy is classic and that these patients are Congo red positive. This is a glomerulus. You can see the marked mesangial expansion. This is the Congo red stain.

00:00


Birefringence under polarised light
This is looking at it not under nicol prisms. But when we then look at it under nicol prisms, we see this apple-green birefringence, which has dichroism, which means when you change the polarization... amyloid--the way the fibers kind of go together, they are kind of antiparallel or perpendicular, if you will. So when you change the polarization, you get one portion of the Congo red in focus. When you change it again, the other comes in focus. So the Congo red kind of shifts in its positivity, if you will.

00:00


Amyloid fibrils by electron microscopy
Ultrastructurally, you see the classic fibrils that we are so used to seeing. In fact, before this whole issue of fibrillary glomerulopathy or immunotactoid glomerulopathy came into existence, I don't have any doubt that there were cases of so-called Congo red negative amyloidosis that may in fact have had ITG or fibrillary GN, if you will, because they were basing it on the ultrastructural features rather than on the fact that it was Congo red negative.

The ultrastructural features are they have these randomly oriented fibrils which have a diameter of about 9 or 10 nm. What is interesting is we always talk about these as fibrils or fibrillary glomerulopathy... amyloid is referred to as a beta fibrilosis. But if you look at these high-powered electron micrographs that Dr. Schwartz did, you can see that even the classic beta fibrilosis can have a microtubular-like appearance. I think it is fairly easy for those up front to see that these are microtubules, if you will. I guess the difference between a microfibril and a microtubule may be the magnification.

00:00


Amyloidosis: Clinical and serologic features
Patients with primary amyloidosis are older. Sixty-four years of age is the median age. Less than 1 percent of these patients are under 40 years of age. And as I said before, proteinuria is one of the presenting features and is found in 80 percent of patients and doesn't necessarily correlate with the extent of deposits on the biopsy, which I think is an important thing to keep in mind. You don't have to have a lot of deposits to necessarily have significant nephrotic-range proteinuria. Renal insufficiency at presentation is seen in about 50 percent. Paraprotein, either in the urine or serum, is seen in 90 percent of cases.

Free light chains are seen in 70 percent of cases; and in amyloid, these are most often lambda light chains. In light chain deposition disease, they are most often kappa light chains. And myeloma is not always present in these patients. Only about 20 percent or so of patients with primary amyloid will actually have a malignancy, multiple myeloma. They obviously all have a plasma cell dyscrasia, but only 21 percent have multiple myeloma.

00:00


Source: Kyle RA. Adv Nephrol Necker Hosp. 1998;28:383-99. Review.

Amyloidosis: presenting symptoms
The presenting syndromes in amyloid you are very familiar with. Again, nephrotic syndrome is one of the commonest presenting syndromes; heart failure; carpel tunnel; peripheral neuropathy; orthostatic hypotension. And the way in which the patient presents actually has prognostic significance. Again, this is all Mayo Clinic information, which is extremely valuable since they have such a large series.

00:00


Source: Kyle RA et al, N Engl J Med. 1997 Apr 24;336(17):1202-7.

Amyloidosis: Survival by most involved organ system
This shows information from a study which we will get into in a little more detail that Bob Kyle published in The New England Journal of Medicine in 1997. This looks at the survival for patients with heart failure, nephrotic syndrome, peripheral neuropathy, and other. And for sure, those patients, as you are all familiar with who have heart failure, have a median survival of only about five or six months. Those patients have the worst prognosis. Patients who present with nephrotic syndrome, which would be this group I believe--16 months on average. Peripheral neuropathy patients seem to do the best overall.

00:00


Source: Kyle RA et al, N Engl J Med. 1997 Apr 24;336(17):1202-7.

Amyloidosis: Treatment strategies
How do we treat these patients? In general, our hematology colleagues treat them because they are the ones we ultimately refer them to for further evaluation. Therapy is melphalan and prednisone. But there had been some discussion about the use of cochicine, since it is so good in familial Mediterranean fever, and it is thought to interfere with the fibril formations. So what they did was a study looking at melphalan and prednisone versus colchicine. They had over 220 patients.

What they found was that with melphalan and prednisone, there was about a 28 percent response rate. Usually they measure response by at least a 50 percent reduction in the paraprotein. The median survival overall for this group was 18 months. The colchicine-treated group, colchicine alone, had only a 3 percent response rate with a median survival of only 8 months overall. For those patients who responded, so 31 percent if you will, the median survival extended out to 50 months, which was pretty impressive.

Keep in mind that ultimately the overall five-year survival for these patients was still extremely poor. So not a great remission rate in general or response rate, if you will; and overall the ultimate survival for these patients is extremely poor in my eyes, at only 15 percent.

More aggressive therapies for amyloidosis
The hematologists are starting to shift gears and not only treating with high-dose melphalan but also they are adding to this autologous stem-cell transplant, which I found fairly impressive. Here you've got a fairly malignant disease, if you will. And they are doing high-dose melphalan and prednisone and then doing an autologous stem-cell transplant. I don't know how they can decide that they've got plasma cells in that marrow that don't have the same malignant potential. But nonetheless, that is what they have been trying.

What is interesting is you read these papers, and there are over 50 patients now that I can find in the literature--two large series. One had 21 patients, the other had 25. What is interesting and what stands out to me is the average age coming into these studies is 48. So we are talking about a very young population of patients. The other thing is that their disease has to be fairly limited. They can't have severe, extensive disease with Class III and IV heart failure because they wouldn't live through the therapy. So these are a very select group of patients.

When I talked to one of my hematology colleagues, she basically re- emphasized that... that these are a very select group of patients and not many patients really qualify for these various studies. What is interesting is that they have a high toxic death rate. In one study, over 40 percent of patients died in the first month just because of the therapy alone. Ultimately when they followed the patients who did survive over four years, those patients who had only one organ involved, and generally it was a non-cardiac organ, had an overall survival of 92 percent versus those who had more than one organ involved, and the four-year survival was only 11 percent. So I don't know how widely this is going to be accepted, but it is obviously a very select group of patients with a very high toxicity.

There is another drug that is an anthracycline, called IDOX or deoxydoxorubicin, which also binds with amyloid fibrils and apparently interferes with the ongoing production of amyloid, which has been used in eight patients. I believe, in an Italian study, about four or five of the eight patients have shown some response with respect to a decrease in proteinuria because many of these patients had proteinuria of at least 50 percent. How well this is going to fit in I don't know yet, but it is just another option. In the meantime, the mainstay of therapy still is melphalan and prednisone.

00:00


Renal replacement therapy in amyloidosis
As I had said earlier, amyloidosis accounts for a very small percentage of patients overall who are in our end-stage renal disease program. Nonetheless, they are an important population because they have a lot of problems.

In the Mayo Clinic series, 32 percent of the patients they followed progressed to end-stage renal disease over the period of time that they were looking at this, from 1981 to 1990. From diagnosis of amyloid to end-stage renal disease was 14 months, and the survival on dialysis was eight months.

When you look at the studies of hemo versus PD, although people would like to think that PD might be more beneficial because there is less orthostatic hypotension or at least less potential for that, the overall survivals in general for PD and hemo in amyloid patients is about the same. The one-year mortality on dialysis is 44 percent versus 22 percent overall for end-stage renal disease patients. This is comparable to AIDS patients in general. Renal transplants are rarely an option for primary amyloidosis due to their poor prognosis.

00:00


Congo-red negative fibrillary glomerulopathies
We have another group of patients who have organized deposits or fibrillar glomerulopathy in whom the Congo red is negative. So we call these nonamyloid patients. We then do the immunofluorescence and find that, at least in one group, that it is positive (There is a group that is negative, in a classic situation of fibrillar glomerulopathy with nonamyloid immunofluorescence negative, but yet organized deposits, so-called diabetic fibrillosis. But we are going to focus on the immunofluorescent positive group, which we assume to be immunoglobulin derived).

We have a whole host of groups here that can have Congo red negative immunofluorescence or immunoglobulin derived fibrillar glomerulopathy. Dr. Appel talked about cryoglobulinemia; he talked about lupus. These are in the differential diagnosis for sure. And patients with monoclonal gammopathies... there are patients who have so-called benign monoclonal gammopathy who have renal disease and can have organized deposits. And when their benign monoclonal gammopathy is treated, the renal disease can go into remission.

00:00


Non-amyloid MIDD
There are patients, who we will talk about, who have a monoclonal gammopathy and are classified as monoclonal immunoglobulin deposition disease or nonamyloid monoclonal immunoglobulin deposition disease, if you will, by the Gallo classification, who are a fairly important group of patients and one that we are seeing more and more of but still very infrequently.

00:00


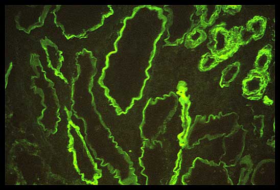
Immunofluorescence staining of non-amyloid MIDD
The diagnosis is made by the immunofluorescence. And it is interesting in that it is the tubules. What you see here is kappa fluorescing along the basement membrane of the tubules in these patients. In fact, one of the primary features is that the tubules will be positive for immunofluorescence for the monoclonal protein. Most commonly, it is light chains and again kappa more often. But people have described heavy chain deposition disease, as well as light and heavy chain deposition disease.

00:00


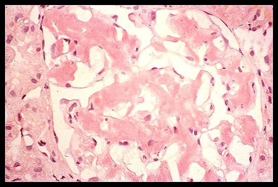
Glomerulopathy with non-amyloid MIDD
They can also have a glomerulopathy. And they can have a nodular glomerulopathy which looks just like diabetes. Before the days of standardized staining for light chains, a patient with this could be potentially mistaken for someone with diabetes, except for the fact that the history is such in most of these patients that they obviously don't have diabetes.

So when you see diabetic nodular glomerulosclerosis in a nondiabetic, think about light chain deposition disease. I don't know how many of your pathology departments do standardized light chain immunofluorescence, but we started doing them about 12 or 13 years ago because you'll miss these patients. Now granted, the yield isn't high. But nonetheless, this is the only way you are going to pick them up. And not all of them have this nodular glomerular sclerosis. Some of them can have just nonspecific glomerular findings.

00:00


On immunofluorescence, these nodules, as well as Bowman's capsule, will light up with the monoclonal protein stain.

00:00


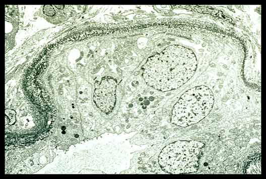
Granular deposits in the tubular BM in non-amyloid MIDD
Now some of them can have organized ultrastructures and can have microtubules in the basement membranes with monoclonal immunoglobulin deposition disease, but I don't want you to walk away from here thinking that that is the rule. In fact, the rule with most forms of light chain deposition disease or monoclonal immunoglobulin deposition disease, if you will, is that they have granular deposits as opposed to organized deposits.

This just shows a tubular basement membrane. They have these very dense granules. It is probably hard to see in the back. But up front you can appreciate these dense granules throughout the basement membrane. That is more often the rule. The organized deposits are more the exception.

00:00


Organ involvement in non-amyloid MIDD
Monoclonal deposition diseases are infiltrative disorders, just like amyloid. Renal involvement, in fact this is the way we usually pick these patients up, is 100 percent. They also can have cardiac, liver, and neurologic involvement, as well. And depending upon the series you look at, it will determine how frequently it is seen. But for sure these patients can develop cardiomyopathies, as well.

00:00


Clinical and serologic features of MIDD
The patients are usually 55 years of age, ranging anywhere from 30 to 80. Again proteinuria is one of the most common, if not most frequent, presenting finding. Nephrotic range proteinuria in 30 to 50 percent; renal insufficiency, very common; monoclonal proteins are seen in 80 percent of cases; and kappa light chains are found in 80 percent of the cases as well. You might say, "Why don't they all have free monoclonal light chains?" Well, you can't always find them, and there have been good studies done... I believe one by Dr. Gallo, which show that, if you do specific staining, the bone marrow has an abnormal clone producing the monoclonal protein that is usually found in the tissues. Myeloma in these patients can be present in anywhere from 40 to 70 percent of cases.

00:00


Forms of MIDD
Light chain deposition disease is the most common form of nonamyloid monoclonal immunoglobulin deposition disease. It was thought that these things didn't cross over--you could have amyloid, but if you had amyloid, you didn't have cast nephropathy, if you will. Or if you had light chain disease, you wouldn't have amyloid or you wouldn't have cast nephropathy. There was something unique about those light chains and the various disorders and things didn't cross over.

Vivette D'Agati was kind enough to share this with me, as well as Agnes Fogo and Gloria Gallo, published in Advances in Nephrology. There are a large group of patients... adding up all these series, 51 percent of patients will have light chain deposition disease alone. But there are another almost 20 percent of cases that have a combination of light chain disease, as well as cast nephropathy. And there are even cases that have been described with light chain disease and amyloid. So these can co-exist.

You also can have light and heavy chain as well as heavy chain disease, but very uncommonly. Again, Vivette's group here is the only group who has seen any.

00:00


Vivette was kind enough to share information with me that is being presented at this ASN. This is in Dr. Lin, Vivette and Appel's abstract, which will be presented, I believe, as a poster: When you look at these patients based upon whether they have pure monoclonal disease versus a combination, again this is Dr. Lin's data which will be presented at this meeting.

What they find, and Gloria Gallo has found very much the same thing when she divides them up this way, is, that those patients with a pure monoclonal disease, all have nodular glomerulopathy; whereas among those with cast nephropathy, only 18 percent had nodular glomerulopathy. Those with cast nephropathy all had light chain disease, whereas the pure forms of monoclonal immunoglobulin deposition disease, all three groups were involved. Myeloma was found in almost 91 percent, not surprisingly in the patients with cast nephropathy, but only 39 percent of patients with pure monoclonal disease. Serum creatinines were very high, even higher in the cast nephropathy patients.

Nephrotic syndrome was more common in the patients with monoclonal disease without cast nephropathy. Interestingly, end-stage renal disease occurred in 91. Again, they are presenting with creatinines of 7.8. Some of us would define end-stage renal disease as greater than 6. Ninety-one percent of their patients progressed to end-stage renal disease over four months. These patients are acting more like myeloma with cast nephropathy than they are anything else.

Of the patients with the pure or the noncast involvement, only 48 percent progressed over the course of about 22 months. Survival was substantially better for the patients without cast nephropathy, being 67 percent over a course of about two years of follow-up versus 45 percent survival over a little over a year.

00:00


Source: Heilman RL et al, Am J Kidney Dis. 1992 Jul;20(1):34-41.

Response to treatment of MIDD: Mayo Clinic series results
Of those patients with light chain deposition disease that the Mayo Clinic has studied, there were 19 who had renal disease whom they treated with melphalan and prednisone. And about a third of those patients had a "response". Overall, the five-year patient survival was 70 percent, which is not inconsistent with what Vivette found. In fact, when she subcategorized her group of patients into just looking at those who had pure light chain deposition disease, the median survival for those patients was something around 69 months. So this isn't inconsistent.

Five-year survival free of renal disease, so alive and not on dialysis, was about 37 percent. And what they found and what people have talked about is unlike amyloid, when you treat patients with light chain deposition disease, many times you can actually get a response to where the renal disease will stabilize or improve. And, in fact, that is what they found in the Mayo Clinic series. But what they also point out is that it is in those patients with the best preserved renal function. So patients with creatinines of less than 4, 63 percent of those patients had stable or improved renal function versus only 18 percent of those patients with much more advanced disease.

00:00


Outcomes with MIDD
Survival on dialysis in these patients, again, ranges anywhere from 7 to 48 months. I am sure this depends upon those patients who have coexisting cast nephropathy falling on this end versus patients who have the more pure disease falling on the 48-month end.

Renal transplantation is again rare in these patients because of poor prognosis. However, there are patients who have been transplanted, 50 percent of whom usually will have a recurrence in the transplant over 8 to 48 months. Again the Mayo Clinic group is reporting eight patients at this ASN in whom I think six had recurrence of their light chain deposition disease after transplantation, three of whom died and I think three of whom ultimately are back on dialysis. So there are, I guess, the occasional patients who have fairly limited disease who you can transplant, but the recurrence rate is fairly high.

To go to PART TWO click here


Back to list of talks for this symposium
Back to symposia list by topic
Back to symposia list by meeting
Back to HDCN home page


HDCN