Pathologic features, nomenclature and diagnosis of small vessel vasculitis
Dr. Charles Jennette
May 14, 1997
Dr. Jennette Charles Jennette, M.D.
Dr. Jennette is Professor of Pathology and Laboratory Medicine at the University of North Carolina at Chapel Hill.
Synchronized Real Media from Dr. Jennette's Presentation ![]()
28.8 modem
click here to listen!This page is PART ONE. You can scroll through the talk while listening to the audio. There are about 30 slides to this talk in all, 15 in part one. Download this whole page before starting up the audio player! The page will automatically scroll to the slide being discussed. The hyperlink to PART TWO is at the end of the PART ONE.
You won't be able to listen to these files if you have not downloaded and configured the Real Video Player (it is built into Internet Explorer version 4.0). To download and configure the REAL player click here. Introduction of Dr. Jennette by Dr. Jörgen Wieslander:
You're all very welcome to this morning's session on systemic vasculitis. I'm very happy to introduce the first speaker, Professor Charles Jennette from Chapel Hill in North Carolina. Charles is the world's leading expert on the pathology of systemic vasculitis. In fact, he who together with Dr. Ron Falk formed the group that identified myeloperoxidase as one of the major antigens in the ANCA field.
Part One: Historical evolution of our concept of vasculitis
Dr. Charles Jennette
Thank you, Jörgen. I would like to thank the organizing committee for their invitation. It has certainly been a wonderful visit so far. And, of course, as a renal pathologist, it is really a distinct honor to be here in Scandinavia and to meet Klaus Brun, who obviously contributed to the origins of my subspecialty.
Vasculitis is characterized by inflammation in blood vessel walls
Systemic vasculitis, of course, as we are all aware, is a rather complex issue. Obviously in 30 minutes it is going to be difficult to really discuss this in great depth.
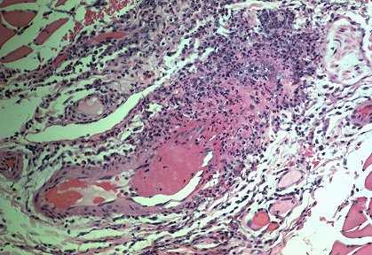
| Necrotizing arteritis in a skeletal muscle biopsy. Note the segmental transmural necrosis and inflammation with an adjacent thrombus. |
![]() |
I think everyone here has a clear understanding of what vasculitis is. Of course, it is inflammation of vessel walls. It is not inflammation around vessels; it is inflammation of vessel walls. The vasculitis that affect the kidney most often are necrotizing vasculitides that affect parenchymal arteries and also in fact very often vessels other than arteries. You could say vessels smaller than arteries, but it's really more definitive to say vessels other than arteries. Today we are really going to be concerned with necrotizing vasculitis affecting arteries and other smaller vessels.
![]()
Large vessel disease
There are large vessel vasculitides that occasionally affect the kidney. These vasculitides by definition affect the aorta and its major branches; and therefore, the major impact on the kidney is through the induction of hypertension.
![]()
So renal vascular hypertension because of injury to the aorta at the ostium or involvement of some of the larger arterial radicals leading to the kidney is the major problem in patients with giant cell arteritis and Takayasu's arteritis. I'm not going to spend any more time discussing those large vessel vasculitides. Medium and small vessel vasculitides
Really the more difficult classification and therefore diagnostic problems are with vessels that affect the parenchymal arteries, arterioles, the glomerular capillaries and even other vascular structures, such as the vasa recta within the kidney. So we are going to be concerned with these so-called medium-sized vessel vasculitides, which, by at least the definition at I prefer, indicates that they involve arteries; and small-vessel vasculitides, which means that they involve vessels other than arteries, which of course means vessels smaller than arteries, such as capillaries and venules.
![]()
Historical background
Some of the earliest investigations of patients with vasculitis were prompted by the recognition of arteritis, which in fact could be seen grossly as modular enlargements in the arteries within the parenchyma and even in main visceral arteries such as the renal arteries, hepatic artery. There were many early reports. Certainly Karl Rokitansky described patients with what was in fact arteritis in his discussions of patients with aneurysms. But Kussmaul and Maier in 1866 really published one of the first detailed descriptions of vasculitis in patients. In the one patient that they described most carefully, the involvement was predominantly, at least, within arteries and could be seen grossly; but microscopically, it involved very small vascular radicals as well.![]()
In their patient the presentation was similar to what I'm sure you've seen in your own patients. There were the non-specific manifestations of a systemic inflammatory process--fever, anorexia, weakness. There were also indications of vascular involvement in the tissues--myalgia, paresthesia, abdominal pain, cutaneous nodules, and there was oliguria. The gross pathology, as I mentioned and, as was illustrated here in the article by Kussmaul and Maier, was predominantly nodular thickenings along arterial radicals. Histologically this was shown to be inflammation and necrosis.
| Renal involvement by polyarteritis nodosa. Note dark thrombosed pseudoaneurysms and pale peripheral infarcts. |
![]() |
Gross changes of medium-sized vessel vasculitis
This is a similar presentation to what was seen and illustrated by Kussmaul and Maier. In this photograph, you can see that these kidneys have large aneurysms filled with clotted blood. These are really not true aneurysms; they are pseudo- aneurysms because actually the inflammatory process has eroded through the vessel wall and into the adjacent parenchyma. So it's not just a dilation of a vessel--it's an erosion through a vessel by this necrotizing process. Of course, this process can occlude the arterial arteries that are involved. You can see in the periphery here a number of infarcts, which is a complication of arteritis affecting the larger vessels in the kidney. In fact, there was rupture of one of the aneurysms. This patient actually died from massive hemorrhage into the retroperitoneal and peritoneal cavities. In this patient you can also see the typical nodular inflammatory lesion of polyarteritis nodosa as it's called today.
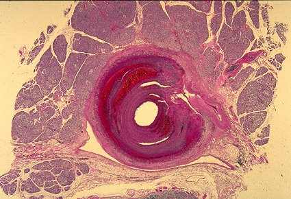
| Thrombosed pseudoaneurysm in the pancreas of a patient with polyarteritis nodosa. |
![]() |
Microscopic changes in the pancreas: polyarteritis nodosa
Here we can see an artery within the pancreas. At this point the walls have been eroded through and there is this large pseudo-aneurysm filled with thrombotic material. This process was initially called periarteritis nodosa by Kussmaul and Maier, but soon after the term polyarteritis nodosa became more popular, and nowadays it is really the preferred term because many different vessels are involved and it is really a transmural process, not a perivascular process.
It is found that some vasculitis has granulomatous changes
For over 50 years almost anyone with necrotizing arteritis was called periarteritis nodosa or polyarteritis nodosa. Anybody with necrotizing arteritis was put into that category. But by the 30s, it was becoming clear that there were various patients who had distinctive features in addition to the systemic necrotizing vasculitis that warranted separation into a different category.
| Necrotizing granulomatous inflammation in the lung of a patient with Wegener's granulomatosis. |
![]() |
Klinger in the early 30s and later his schoolmate, Wegener, described this pattern of granulomatous inflammation associated with the necrotizing vasculitis that we now call Wegener's granulomatosis. In this process there is systemic small-vessel vasculitis with necrosis. There is arterial involvement frequently with necrosis, and there is granulomatous inflammation, often in the respiratory tract--either the lung or the upper respiratory tract--with a very necrotizing character to it but with scattered multi-nucleated giant cells that have lead to the designation granulomatosis.
| Necrotizing and granulomatous arteritis in the lung of a patient with Churg-Strauss syndrome. |
![]() |
Granulomatous inflammation, vasculitis, and eosinophilia
Another variant of this granulomatous inflammation associated with necrotizing vasculitis was described by Churg and Strauss and is now designed Churg-Strauss Syndrome. In these patients there was an associated asthma as well as peripheral eosinophilia, and sometimes their vasculitic and granulomatous process was preceded by a eosinophilic pneumonia or an eosinophilic enteritis. So, again, there was a subset of patients that initially were considered polyarteritis nodosa with asthma. Eventually the terminology evolved such that there was a more specific designation, Churg-Strauss Syndrome, for what appeared to be a clinically pathologic process distinct from usual polyarteritis nodosa.
The beginnings of a classification emerge
So you can see that from the initial single category of necrotizing arteritis, some entities with specific features were being separated. At this point we really had still polyarteritis nodosa, Wegener's granulomatosis, and Churg-Strauss Syndrome. Zeek and Godman and Churg in the early 50s, and in fact beginning in the late 40s, added some substantial insight into the categories of necrotizing vasculitis.
![]()
Early classification systems: Zeek (1948, 1952)
Although Zeek's 1952 article is better known, her 1948 article really describes more carefully her perception of necrotizing vasculitis. And what she concluded was that there were two major forms of necrotizing vasculitis. There was what had been described, she felt, by Kussmaul and Maier that she was at that time calling periarteritis nodosa that had involvement of arteries but had no involvement of the lungs, and it had no involvement of vessels smaller than arteries.
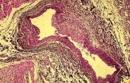
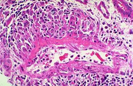
| An example of small-vessel necrotizing arteritis. |
![]() |
How the concept of hypersensitivity angiitis evolved
But she also recognized a group of patients who had, in her words, "lesions and small intrinsic venules, arterioles, and small arteries of the viscera, including the lung."
| Necrotizing glomerulonephritis with a cellular crescent, which may occur as a component of microscopic polyangiitis and other forms of small-vessel vasculitis. |
![]() |
She also described necrotizing glomerulonephritis as a frequent feature of this lesion, and in fact said that "involvement of arteries that were larger was very rare in these patients." She, unfortunately in my opinion at least, called this hypersensitivity angiitis because a number of her patients had been treated with sulfa drugs, but of course anyone with inflammatory pulmonary disease at that point in time would have gotten sulfa drugs, I suspect. Also, she had been involved in experimental models of vasculitis induced by positioning silk around the kidneys, which was then felt to be induction of vasculitis by an allergic response to that foreign material. So she called it hypersensitivity angiitis. This term, unfortunately thereafter was used to described many different forms of vasculitis, some with more or less evidence for an allergic pathogenesis.
Zeek's 1952 classification system for vasculitis
Her 1952 article proposed an actual classification system for vasculitis: What she called periarteritis nodosa; hypersensitivity angiitis, which is a small-vessel necrotizing vasculitis; she was aware of the allergic granulomatosis and angiitis that we now call Churg-Strauss Syndrome; she apparently as not aware of Wegener's granulomatosis being a type; she also was aware that patients with rheumatic diseases developed forms of vasculitis; and was aware of the large vessel form of vasculitis called temporal arteritis, which is now designated giant cell arteritis because it doesn't always affect just the temporal arteries.
![]()
Godman and Churg's contributions
Godman and Churg also looked at systemic vasculitides. Of course, Churg had been involved with Strauss earlier in describing Churg-Strauss Syndrome. They came to some conclusions in 1954 which are basically, in my opinion, where we are today. They recognized again that periarteritis nodosa, as it was designated, affected mainly arteries and grossly visible arteries. But they concluded that there was a more common form of vasculitis that they referred to as the "microscopic form of periarteritis nodosa." They concluded that, in fact, this was the same category of vasculitis that Zeek was calling hypersensitivity angiitis. But they pointed out that there really was not good evidence for allergy in these patients and that isn't a good terminology. So they preferred the term "microscopic form of periarteritis." They also, of course, were aware of Wegener's granulomatosis. In this 1954 article, they clearly described the major triad of Wegener's granulomatosis with systemic necrotizing angiitis, as they called it; necrotizing glomerulonephritis; and, of course, the granulomatous inflammation. And they also were, of course, aware of Churg-Strauss Syndrome since Churg had just been involved with describing this earlier. They concluded that because of the pathologic similarity, especially of the underlying small-vessel vasculitis, that Wegener's granulomatosis, Churg-Strauss Syndrome, and microscopic form of periarteritis were related and were distinct from and probably pathogenetically distinct from periarteritis nodosa or what we call polyarteritis nodosa. I would suggest that more recent data that I will review later supports this position that they put forward in 1954. These do appear to be related because they all are associated with ANCA. This process [polyarteritis nodosa], I believe, is distinct and now uncommon as we've pulled away from it many more specific forms of vasculitis.
| Small coronary artery with segmental necrosis and inflammation in a patient with Kawasaki disease. |
![]() |
Kawasaki's disease
In the 1960s, the final major category of necrotizing vasculitis was separated from the polyarteritis nodosa group, and this is Kawasaki's disease. Up until this point, there were other descriptions of this process sometimes referred to as infantile form of polyarteritis nodosa because Kawasaki's disease occurs most frequently in young children. However, Kawasaki's disease has another very distinctive component, and this is the mucocutaneous lymph node syndrome. So basically the diagnostic characteristic that separates Kawasaki's disease from polyarteritis nodosa is this mucocutaneous lymph node syndrome with erythematous and scaly mucosa and skin, especially on the digits, with a lymphadenopathy and with this necrotizing vasculitis that has a predilection for the coronary arteries and can produce aneurysms with thrombosis and myocardial infarction. The necrotizing lesion is similar to that of polyarteritis nodosa, although there are some subtle differences in general -- a little less fibrinoid necrosis, a little more cellular character to the initial injury.
It is realized that vasculitis affects vessels other than arteries
Now all of this investigation up until this point has been stimulated by arteritis. So investigators were looking at patients who clearly had involvement of the arteries. But there was a parallel development of categorization of patients with evidence for vasculitis that was taking place based on manifestations of small-vessel vasculitis that was affecting vessels other than arteries.
| Purpura caused by small vessel vasculitis, for example, any form of ANCA-vasculitis, such as microscopic polyangiitis, Wegener's granulomatosis, or Churg-Strauss syndrome; or immune complex small vessel vasculitis, such as Henoch-Schönlein purpura or cryoglobulinemic vasculitis. |
![]() |
Purpura and vasculitis: Henoch-Schonlein purpura
The major manifestation that lead to this sequence of parallel but eventually intersecting investigations of patients with vasculitis was purpura. And so in the literature, actually from the Greeks and probably before, there have been clinical descriptions of purpura.
| Dermal leukocytoclastic angiitis, which is the most frequent pathologic lesion causing vasculitic purpura; and can be a component of many types of small vessel vasculitis. |
![]() |
Some of the earliest elucidations, however, of the syndrome of purpura, which was found eventually to have a substantial renal component, were carried out by Schonlein and later by Henoch. In fact, Henoch gave the more careful description of the full spectrum of small-vessel involvement in what is now sometimes called Henoch-Schonlein purpura. Clearly at the point that they were describing the syndrome, a number of small-vessel vasculitis categories were present in the patients they investigated. Also at the turn of the century, Osler made some major contributions in the evaluation of patients with small-vessel vasculitis and was one of the first to recognize how often renal involvement occurred and how severe it might be in patients with purpura, abdominal pain, and nephritis. Now the reason I think that Osler saw the more severe renal involvement was he was seeing more adults.
Henoch was a pediatrician so most of the patients he saw were children. He saw what today we would call Henoch-Schonlein purpura, with purpura, abdominal pain, and nephritis; whereas Osler was seeing adults, many of whom had microscopic polyangiitis with purpura, abdominal pain, and nephritis. His patients tended to be more severe. In any event, those investigations of patients with purpura pointed out that small-vessel vasculitis can affect the skin, can affect the gut, can affect the kidneys; also peripheral nephropathies were present in some of those patients, and that involvement was recognized.
| Massive pulmonary hemorrhage in a patient with Goodpasture's syndrome. |
![]() |
Involvement of the lung in vasculitis
The next organ system that was recognized to be affected by small-vessel vasculitis in a pattern other than arteritis and granulomatous inflammation was the lung, with hemorrhagic capillaritis causing massive hemorrhage in some patients. Goodpasture is credited with one of the earliest descriptions of a patient with this so-called pulmonary-renal vasculitic syndrome; a patient who, following a flu-like illness developed severe pulmonary hemorrhage and severe glomerulonephritis. Actually at postmortem examination, this patient had small-vessel vasculitis in the spleen and the gut as well. This patient probably had ANCA- associated microscopic polyangiitis. However, Goodpasture's syndrome, the designation, is now used primarily for patients with evidence for anti-basement membrane disease, as I will return to in a moment.
It is realized that the spectrum of vascular injury can be quite broad
So at this point then from investigations of patients with clinical manifestations of small-vessel vasculitis, it was clear that the spectrum of necrotizing vascular injury was quite broad. Arteries could be involved, venules could be involved, capillaries could be involved in the glomeruli, producing necrotizing glomerular injury, and capillaries in the lungs could be involved. So many tissues could be involved. This was a very complex problem of classification at that point because you had this broad spectrum of vascular and organ system involvement and any number of names that had been applied in varying ways to these. It was quite confusing, not that it's not still confusing.This is the end of PART ONE of this lecture. PART TWO deals with anti-neutrophil cytoplasmic antibodies.
To go to PART TWO, click here